اهداف و موارد تجویز
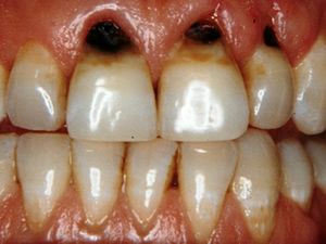
پوسیدگی های فعال سریعا پیش رونده، حین پیشروی نرم شدگی ها حداقل نصف فاصله بین DE و پالپ نیازمند درمان بالینی سریع و فوری میباشد بدون مداخله درمانهای ترمیمی بوسیدگی های حاد ممکن است سریعا پیشرفت کنند.
روش درمانی به منظور کنترل پوسیدگی ها شامل برداشت بافتهای پوسیده ی دندان ازتمام ضایعات پیشرفته قرار دادن مواد درمان پالپ اگر نیاز باشد و ترمیم دندان به مناسب ترین حالت است مواد ترمیمی موقت مواد شرمی پایینی (قیمت عصب کشی دندان) گلاس آبنومرتقویت شده مثل قیمت عصب کشی دندان با آمالگام معمولا مواد درمانی انتخابی اند.
کنترل پوسیدگی، مرحله ای بالینی در درمان های رسمی بوده و مورد تجویز متعدد دیگری هم درد دندان هایی که پروگتوز بالی سوال برانگیزی دارند باید به روش کنترل پوسیدگی درمان شود بدین شکل پیشرفت میترالیزاسیون عاج متوقف شده و میتوان واکنش پالپ را قبل از اقدام به اعلام هرگونه ترمیم دائمی مشخص کرد روش کنترل پوسیدگی برای دندان پزشکان پرمشغله فرصت انعطافی فراهم می کند تا به کمک آن بتول به سرعت و بدون اینکه تغییری اساسی در برنامه ریزی وقت کاری روز خود ایجاد کنند شرایط را تحت کنترل درآورند.
همچنین روش کنترل پوسیدگی قبل از ترمیم دائمی، تاخیری مناسب فراهم می کند که به پالپ فرصت بهبودی داده و امکان ارزیابی بهتر وضعیت آن را فراهم می کند.

روش کنترل پوسیدگی
معمولا برای ناحیه تحت تاثیر، بی حسی تجویز می شود مگر اینکه بخواهیم آزمون تراش حفره را برای امتحان حیات پالپ انجام دهیم. به دلیل اینکه مسکن است در صورت آلودگی محل های اکسیوژ بپالپ با بزاق در حین برداشتن پوسیدگی ها در ضایعات پیشرفته تکروز پالپ اتفاق بیفتد.محل عمل باید ایزوله شود رابردم بهترین وسیله ایزولاسون است.(قیمت عصب کشی دندان)
هدف اصلی از کنترول پوسیدگی دندان، نام دید کلی و دسترسی مکانیکی برای تسهل برداشت عاج عفونی است بازشدگی اولیه دندان به کمک بزرگترین فسوژ کارید صورت می گیرد کاربردی ترین وسیله برای این عمل، یک هندیس با سرعت بالا همراه با آسیری آب و هوا است. حفظ مینای بدون ساپورت ضروری است؛ زیرا بافت دندان حتی در حالت آندرماین شده به گیر ماده ترمیمی موقت کمک می کند برداشت مینای بدون ساپورت، کمی دیرتر و در زمان استقرار ترميم دائم، انجام می شود.
نگهداری قسمت های سالم ماده ترمیمی قبلی، ممکن است ترمیم موقت را تقویت کند و خطر اکسیوژ پالپ را کاهش بدهد البته باید حین عدم برداشت تمامی ترمیم قبلی دقت زیادی کرده زیرا ممکن است باقیمانده عاج عفونی از دید مخفی بماند. موقعیت های بین قوسی و داخل قوی با روش کنترل پوسیدگی، حفظ می شود.
تشخیص و برداشت پوسیدگی ها در درجه اول به تعبیر دندان پزشک از تحریک حاصل از لمسی با سود توسط وی، بستگی دارد. تغییرات رنگ را نمی توان به عنوان مرجعی قابل اعتماد برای برداشت کامل پوسیدگی ها در نظر گرفت در مسابقات سریعا پیشرونده، عاج نرم شده دارای تغییر رنگ اندک یا فاقد تغییر رنگ می باشد در حالی که ضایعات کند پیشرونده اداری تغییر رنگ تری می بخشد عاجی که ظاهرا چرمی داشته و در قطعات حجیم و کوچک جدا می شود و با نوک سوند در آن قابل نفوذ است. باید برداشته شود .
به دلیل اینکه برای برداشتن کامل پوسیدگی ها به تشخص دقيق از طریق لمسی نیاز است. کاربرد هندپیس های بادوز بالا برای برداشتن پوسیدگی های عمیق تجویز نمی شود.
کاربرد اکسکلواتر های قاشقی ممکن است به کنده شدن قطعات بزرگی از عاج نرم که بیش از حد دلخواه است منجر شده و بدین شکل اکسیوژر غیرمنتظره پالپ را به دنبال می آورد کاربرد وسایل دستی برای برداشتن پوسیدگی نیازمند مهارت بالا و وسایل نیز است وسایل روتاری کنترل خوبی فراهم میکنند و نیازمند مهارت کمتری هستند هندپیس های با دور زیاد حین استفاده در سرعتی بلافاصله بیشتر از سرعت (قیمت عصب کشی دندان) کنترل خوبی فراهم می کنند.روشی ساده حرکت ارام هندپیس به شکلی است که فرز بعد از تماس با عاج، طی زمانی کوتاه متوقف شود بعد از برداشت عاج نرم شده ارزیابی ناحیه پوسیدگی زدایی شده به کمک یک سوند نوک نیز به دندان پزشک کمک می کند تا شخص دهد که عاج باقیمانده سفت و دست نخورده است یا نه.
معمولا تمامی عاج نرم و عفونی حین اعمال کنترل پوسیدگی حذف می شود. البته در دندان های بدون علامت برای حفره های عمیق (جایی که برداشتی کامل عاج نرم، احتمال ایجاد اکسیوژ پالپ را در بردارد. عاج نرم نزدیک پالپ ممکن است باقی گذاشته شود. باقی گذاشتن عاج نرم در نزدیکی پالپ دندان به شکل اگاهانه و اعمال درمان دارویی باقی مانده عاج اصطلاحا پوشش غیرمستقیم پالپ (قیمت عصب کشی دندان) نامیده میشود.
برداشت پوسیدگی های عمیق نزدیک پالپ که ممکن است باعث اکسیوژ غیرقابل تشخیص پالپ با اکسیوژ مشهود ان شود باید با لایتر کلسیم هیدروکساید پوشانده شود تا بتواند شکل گری پل های عاجی روی اکسیوژ (عاج ترمیمی) را تحریک کند گلاس آینومر تقویت شده مثل که نیاز به پیس ولاینر را در مواردی که اکسیوژ بالایی اتفاق نیفتاده برطرف می کند می تواند در ترمیم های کنترل پوسیدگی استفاده شود .
انتخاب ماده برای ترمیم کنترل رسیدگی به میزان بافت دندانی ازدست رفته و مدت زمان خدمت مورد نیاز برای این ترمیم موقت بستگی دارد . (قیمت عصب کشی دندان) و مواد ترمیمی بینابینی موادی هستند که بیشترین کاربرد را در فرم های کنترل پوسیدگی دارند.
در صورت وجود فاصله طولانی بین ترمیم کنترل پوسیدگی و ترمیم دائم امانگام موقعیت و کانتور دندان را حفظ می کند در صورتی که قسمت های مشخصی از سطوح پروگزمال اگلوزال از دست رفته باشد ترمیم آمالگام موقتی، تماس های مجاور اگلوزال را بهتراز هر ماده ترمیمی دیگر حفظ می کند .
کاندانس و کارو امالگام باید به روش معمول انجام شود شکل بسیار دقیق آناتومیک برای ترمیم های موقت غیرضروری است ولی ایجاد کانتاکت و کانتورهای صحیح در سطوح پروگزیمال الزامی است؛ زیرا ابعاد مناسب امیراژورها برای حفظ سلامت پایی هایی بین دندانی اهمیت حیاتی دارد همچنین تکنیک کندانس با فشار کمتر استفاده از آمالگام کروی از احتمال سوراخ شدگی به پالب خواهد کاست.
به این درمان های کنترل پوسیدگی نیز می گویند.
برداشت پارسیل پوسیدگی ها و پوشش غیرمستقیم پالپ
مقالات زیادی وجود دارد که نشان می دهد. این روش به برداشت کامل پوسیدگی ها، حتی اگر پاپ اکسپور شود موفق تر است.
در این روش ابتدا قابلیت ترمیم دندان باید در شروع جلسه ترمیم ارزیابی شود قابلیت ترمیم باید بطور قطعی بعد از اتمام برداشت تمام پوسیدگی های اطراف تایید شود الDE بدون پوسیدگی باید اطراف تهیه حفره قرار بگیرد، برداشت پارسیل پوسیدگی ها و پوشش غیر مستقیم پالپ فقط برای دندان های قابل ترمیم یا ترمیم های مستقیم (کلاس آینومره رزین مدیفاید گلاس اینومر،کامپوزیت، آمالگام،فوندانسیون) اولین و دندان هایی که پروگتوز ترمیمی متوسط تا خوبی دارند قابل انجام است طرح درمان دندان هایی که غیرقابل ترمیم هستند کشیدن است.
در مواجه با پوسیدگی دو رویکرد وجود دارد:
- پوسیدگی را كاملا بصوت محیطی تا رسیدن به سالم و بدون پوسیدگی برداشته می شوند. در جهت اگزیال و پالپل، پوسیدگی ها تقریبا تا ۱ میلی متری پالپ برداشته میشوند.
- با تمام پوسیدگیها برداشته نشده و ترمیم سدانیو گلاس آینومر مثل گذاشته می شود. ترمیم سدانیو در محل به مدت تقریبا ۱۲ هفته باقی می ماند .
وکاربرد کلسیم هیدروکساید یا پیس و لاینر دیگر بعد از برداشت پوسیدگی قبل از گذاشتن ترمیم سدانیو نیازی نیست ولی مجاز است.
| کاربرد ترمیم قطعی وقتی تمام پوسیدگی ها برداشته نشده است، می تواند مطرح شود. منطق و دلیل این روش جلسات ملاقات بعدی است که نیاز به همکاری بیمار دارد که لزوما نیاز نیست و بنابراین وقتی بیمار جلسات ملاقات بعدی را دنبال نکند بهتر است دندان بطور صحیحی ترمیم شود. بعلاوه گذاشتن ترمیم دائمی در زمان برداشت پارسیل پوسیدگی ها ممکن است نیاز به مداخله بعدی در دندان را حذف کند .
دندان درمان شده تقریبا ۱۲ هفته بعد از جلسه ترمیم باید دوباره ارزیابی شود دندان های واینال و بدون علامت در این جلسه باید با ترمیم دائم جایگزین شوند(امالکام با کامپوزیت) ترمیم کنترل بوسیدگی کلاس آینومر برای تسهیل برداشت پوسیدگی های باقیمانده از جلسه اول، برداشته نمی شود، بلکه در جهت پالپال و اگزیال به عنوان پیس بالقی گذاشته می شوند و ترمیم مستقيم دائمی (آمالگام کامپوزیت رزین) روی این گفته میشود شواهد قوی نشان میدهد که دوباره باز کردن دندان وایتال بدون علامت بطور مشخص احتمال اکسپوژر پالپ را بدون بهبود نتایج رضایت بخش، افزایش می دهد.
کنترل پوسیدگی های ریشه
میزان بروز پوسیدگی های ریشه در بزرگسالان مسن (بالای ۷۵ سال)بیشتر می کند. یکی از فاکتورهای انیولوژیک اولیه برای این بیماران داروهایی است که آنها برای مشکلات پزشکی متنوع، مصرف می کنند.
کاهش میزان جریان بزاق همراه با نقصان در قابلیت بافرینگ آن نتیجه استفاده از این داروها است که اصولا عامل افزایش پوسیدگی های ریشه در بیماران مسن تر است.
pH بحرانی برای عاج (pH ای که در آن عاج شروع به دمیترالیزه شدن می کند) بین ۶ / ۲ و ۶ / ۷ است، در حالی که برای مینا حدود ۵/ ۵ است درجه عاج ریشه ها اسیدهای بسیار ضعیفی دمیترالیزه خواهد شد و پوسیدگی های ریشه ۲ برابر سریع تر از پوسیدگی های عاجی پیشرفت می کنند.با این خیلی مهم است که تمام بیماران مسن تر معاینات کلینیکی و رادیوگرافیک منظمی را دریافت کنند.
هرگونه بحت راجع به تشخیص و درمان باید با درک نقش دندانپزشک در کمک رسانی به حفظ سلامت دهانی بیماران شروع شود این نقش به اصطلاح لاتين )قیمت عصب کشی دندان) یعنی بدون آسیب عمل کردن )قیمت عصب کشی دندان)» می باشد این عبارت اصول بنیادین هنر التیام بخشی را در یک کلمه بیان می کند. یعنی بیش از پیشنهاد درمان باید مطمئن باشیم که مداخله ما به نفع بیمار خواهد بود.
هیچ درمان ترمیمی بدون عوارضی و کاملا دقیق نخواهد بود و تا آخر عمر بیمار دوام نمی اورد.
موفقیت درمان ترمیمی به برنامه مراقبتی مناسب بستگی دارد که بر اساس:
۱ آنالیز ادراکی دلایل بیمار برای جستجوی درمان -۲ ارزیابی سیستماتیک وضعیت در حال حاضر بیماری ۳- ریسک مشکلات بعدی در آینده می باشد.
راه جمع آوری این اطلاعات و تشخیص ها باید جامع بوده و به صورت مرحله به مرحله به اجرا در این مراحل پرسش منجر به توجه بیش از حد به بخش های بالقوه مهم ترین های منحصر به فرد هر بیمار می گردد این مراحل شامل دلیل مراجعه تاریخچه پزشکی و دندانپزشکی، معاینات بالینی برای تعیین موارد غیر نرمال تشخیص ارزیابی خطر و تعیین بروز می باشند. تحقیقاتی که اطلاعاتی راجع به بهترین عمل در موقعیت های خاص فراهم می کند، دندانپزشکی مبتنی بر شواهد» نامیده می شود.در سایت (قیمت عصب کشی دندان)
تعریف دندانپزشکی مبتنی بر شواهد استفاده منطقی، صریح و عاقلانه از بهترین شواهد موجود به منظور تصمیم گیری راجع به مراقبت از بیمار.
ارزیابی بیمار: ملاحظات عمومی نگرانی اصلی بیمار سابقه پزشکی -سابقه دندانپزشکی
ملاحظات عمومی
معاینه کلینیکال پروسه )قیمت عصب کشی دندان ) مشاهده ساختارهای دهانی بیمار و مشخص کردن علائم و نشانه های وضعیت های غیر نرمال و بیماری
تشخيسص: قضاوت راجع به سلامتی و تعیین تغییر از حالت نرمال نگرانی اصلی
قبل هر درمانی ثبت کلمه به کلمه مشارکت بیمار در تمام جنبه های مشکلات موجود در ابتدا و طی درمان این یافته ها برای تعیین نیاز به انجام تست های شخصی خاص، مشخص کردن علت انتخاب راه حل های درمانی مناسب برای نگرانی ها و ایجاد یک ارتباط راحت با بیمار ضروری هستند .
سابقه پزشکی: بیمار با قیم قانونی او فرم ساله پزشکی فراگیر و دارد را کامل می کند.
لذا دندان پزشک باید (1) بیماری های مسری (۲) آلرژی ها با داروهایی که با داروهای خاص شاید مصرف شوند (۳) بیماری های سیستمیک، اینورمالینی های قلبی با جایگزینی مفصل که نیاز به پوششی آنتی بیوتیکی پروفیلاکتیک با تغییر درمان دارند و (۴) تغییرات فیزیولوژیک مرتبط با پیری را مشخص کند .
سابقه دندانپزشکی: سابقه دندانپزشکی خلاصه ای از تجربیات دندانپزشکی قبلی و مشکلات دندانی حاضر می باشد مروری از سابقه دنداپزشکی اغلب اطلاعاتی راجع به مشکلات دندانی گذشته، درمان های دندانپزشکی قبلی و پاسخ های بیمار به درمان را اشکار می کند تداوم مراقبت دندانپزشکی و درک مراقبت قبلی ممکن است نشان دهنده رفتار بیمار در آینده باشد، اگر یک بیمار به سختی انواع خاصی از درمان ها را تحمل می کند یا با مشکلات مراقبت های دندانی قبلی مواجه می شود، تغییر محيط با درمان ممکن است به منظور اجتناب از عوارض اینده کمک کننده باشد. این مسئله به تیم دیگر مشکلات مانند نواحی دارای گیر غذایی، ناتوانی درنخ کشیدن، نواحی دردناک و توصیه ها با ساختار های دندانی شکسته منجر می شود قطعا درک تجربه قبلی برای ایجاد حداقل مراقبت در اینده اهمیت دارد. نهایتا تاریخ و نوع رادیوگرافی های در دسترس باید برای تعیین نیاز به رادیو گرافی های اضافی و به حداقل رساندن اکسیوژر بیمار به رادیوترابی یونیزان غیر ضروری است شود.
بزرگنمایی در دندانپزشکی ترمیمی
عوامل کمک رسان بزرگنما مثل لوب ها سایر تصویری بزرگی برای بهبود دقت مشاهده ایجاد می کند به طوریکه امکان حفظ موقعیت )قیمت عصب کشی دندان) مناسب را فراهم می کنند تا چشم کمتر خسته شود .
بزرگنمایی قدرت): افزایش سایز تصویر را توصیف می کند.
اکثر دندان پزشکان از بزرگنمایی استفاده می کننده سیستم با قدرت پایین تو (۲ء تا ۰۲ / ۵) اجاره مشاهده چندین کوادرات را می دهد.
سیستم های با قدرت بالاتر ۳ تا ۴ قادر به مشاهده چندین دندان با یک دندان۔ سنگین تر، محدوده مشاهده باریک تر ، گران تر، نیاز به نور بیشتر استفاده از لامپ های LED سبک وزن کوچک که به فریم عینک یا سربند وصل هستند به همراه لوپ مزیت مشاهده ای قابل توجهی نسبت به توانایی های دیگر عرضه می کنند.
فاصله عملکرد طول فوکال : فاصله چشم نا جسم است وقتی که جسم فوکوس باشد این پارامتر باید به دقت قبل از انتخاب لوپ ها در نظر گرفته می شود .
فاصله عملکردی به ارتفاع قد، طول بازو و ترجیحات مربوط به نشستن دندان پزشکی بستگی دارد دندان پزشکان با قد متوسط فاصله عملکردی ۱۹ انتخاب می کند دندان پزشکان قد بلند و آن هایی که ترجیح می دهد دورتر از بیمار باشند در فاصله ی عملکردی cm کار می کنند.
عمق فوکوس: تفاوت بین محدوده فوکوس دور و نزدیک قابل عملکرده به بزرگنمایی بستگی دارد اما هر چه بزرگنمایی کمتر باشد. عمق فوکوس بیشتر است .
ساده ترین بزرگ نماها، لوپ های تک لنزی دیوپتر هستند که یک جفت لنز های پلاستیکی یک قسمتی اند و به فریم های عینک گیر می کنند. این توپ ها ارزان و سبک بوده و می توانند بزرگنمایی با ۲۵ برابر ایجاد کند، اما تصاویر دیستورشن می باشند و طلول کار کرد می تواند کمتر از ایده ال باشد.
رایج ترین لوپ دندانپزشکی مورد استفاده لوپ دو چشمی (قیمت عصب کشی دندان) با لنزهای مانت شده بر فریم عینک می باشد. لوپ های أساسا و | اپتیک های پریستانیک دارند که بزرگنمایی ۲ برابر با حتی ۲ برابر و بیشتر۴/۵ فراهم می کنند .
لنز های طبی می توانند به فریم های عینک تمام انواع لوپ ها وصل شوند. هم چنين اکثر مدل ها شیلدهای کناری با طرح فراگیر برای ملاحظات یونیورسال و راحتی در کنترل عفونت دارند.
دو سیستم مات شونده در حال حاضر برای لوپ های در دسترس هستند.
میکروسکوپ دندان پزشکی
.۱)در گذشته به درمان های لدوتیک محدود می شدند، اما هم اکنون در برخی از اعمال دندانپزشکی ترمیمی هم کاربرد دارند ۲) بر مقایسه با لوپ های با قدرت بالای میکروسکوپ های دندانپزشکی با حفظ ناحیه دید وسیع امکان مشاهده با بزرگنمایی بالا را فراهم می کنند ۲) میکروسکوپ ها در درمان های جزئی مانند پرداخت مارچین های پرسلن، تعیین پوسیدگی جزئی و به حداقل رساندن برداشت بافت دندانی دست نخورده کاربرد دارند.
۴) عموما میکروسکوپ ها شامل ۵ یا ۶ استاپ بزرگنمایی اند که در محدوده ای ۵/۲ تا ۲۰ برابر می باشند ۵) فاکتورهای محدود کننده استفاده از میکروسکوب در اعمال دندانپزشکی ترمیمی هزینه ساز تجهیزات و نداشتن ارزش از نظر کلینیکی.
فوتوگرافی در دندانپزشکی ترمیمی
فوتوگرافی ها وسیله ای برای ثبت و ارزیابی هستند دوربین های داخل دههانی و ثبت وضعیت زیبایی موجود مانند رنگ، شکل و موقعیت دندان به کار می روند تصاویر از پیش و فیشورها توانایی ایجاد فرصت دیدن تغییراتی را فراهم می کند که به روش دیگری نمی توان برای ارزیابی مجدد در آینده ثبت کرد .فوتو گرافی از تهیه حفرات مربوط به پوسیدگی های عمیق سندی برای کمک به تشخیص وضعیت دندان در آینده می باشد بدون ثبت فوتوگرافی های مربوط حفره این اطلاعات به محض جاگذاری ترمیم دیگر در دسترس نخواهد بود.
معاینه،ریسک پروفایل،تشخیص و پروگتوز
تغییر و استفاده از یافته های تشخیصی
مطالعات نتایج تست شخصی را با استاندارد طلایی( وضعیت واقعی) مقاله می کنند تا مشخص شود که نسبت تا چه حد وسعيت درست یا واقعی را نشان می دهد. نتایج تست تشخیصی مثبت یا منفی است که در یک ردیف جدول نشان داده می شود و نتایج استاندار طلایی یا حقیقت در ستون ها نمایش داده می شود.
Aتست مثبت یا بیماری را نشان داده و حقيقتا هم مثبت هستند.یعنی با استاندارد طلایی تایید می شود، به این موارد مثبت حقیقی میگویند.
B تست تشخیصی مثبت را نشان می دهد اما وضعیت واقعی منفی است، بنابرین سلول مثبت كاذب را خاطر نشان می کند.
Cتست تشخیصی بیمار نبودن را بیان می کند اما در واقع بر اساس استاندارد طلایی بیمار هستند. یافته های این سلول منفی کاذب نامیده می شوند.
D شامل موارد منفی حقیفی است یعنی تست تشخصی دقیقا بیمار نبودن را نشان می دهد و این منفی بودن حقیقت با استاندارد طلایی تایید می شود.
یک تست تشخیصی کامل، تمام مواردرا در سلول A با ] بدون وجود مثبت کاذب (سلول B )نشان می دهد حساسیت با جمع موارد مثبت حقیقی تفسیم می شوند.
وقتی بیمار، در ریسک بالای پوسیدگی های ریشه است، باید پروتکل پیشگیری تهاجمی برای او در نظر گرفت. این پروتکل بر اساس ۴ استراتژی اولیه است:
۱-تلاش برای بهبود میزان جریان بزاق و افزایش قابلیت بافرینگ آن (اولین می ۲- تلاش برای کاهش تعداد باکتری های پوسیدگی را استرپتوکوک موتانس ۳ -کاهش کمیت و تعداد دفعات مصرف کربوهیدرات ها ۴- تلاش برای رمبترالیزاسیون ضایعات بدن تشکیل حفره و پیشگیری از ایجاد ضایعات جدید است. بعلاوه، به دنبال این پروکتل ۲ ملاحظه اضافی هم مهم است :توصیه به استفاده از مسواک های برقی تا بیماران حساس به پوسیدگی های ریشه بهداشت دهانی را خیلی دقیق اجرا کنند. با این وجود بسیاری از این بیماران، نقایص فیزیکی و بینایی دارند که تمیز کردن مناسب دهان را برای آنها سخت می کند برای این بیماران مسواک برقی ممکن است سودمند باشد .
اگر بیمار بتواند از وسایل شستشوی آبی قیمت عصب کشی دندان استفاده کند. کاربرد روزانه این وسیله، سودمند خواهد بود. اگرچه این وسیله پلاک را بر نمی دارد ولی نشان داده شده که کاربرد روزانه آن تغییراتی را در ترکیب بلای ایجاد می کند که مفيد است.
۲- ترمیم تمام ضایعات پوسیدگی ریشه با مواد آزاد کننده فلوراید: تمام ترمیم های IX و تمام پوسیدگی های ریشه باید برداشته شود. مواد رزین مدیفاید گلاس آینومر برای ترمیم دائمی ترجیح داده می شود، زیرا بطور مؤثری هم به مینا و هم به عاج بلند می شوند و به عنوان منبع ذخیره فلوراید عمل می کنند که می تواند دوباره به حفره دهان شود.
این مواد به عنوان مواد ضد پوسیدگی، فقط وقتی مؤثرند که بیماران حداقل ۳ بار در روز از طریق مسواک زدن با خمیردندان های حاوی فلوراید یا از طریق کاربرد سایر محصولات حاوی فلوراید، آنها را کنند. آموزش بیماران در مورد ضرورت ۳ بار اکسپوژر فلوراید در روز و مواد آزاد کننده فلوراید، می تواند به ایجاد انگیزه در آن ها برای بهبود سطح همکاری کمک کند.