ترمیم و پر کردن دندانها
درمان های زیر در این کلینیک انجام می پذیرد :
1.ترمیم با آمالگام
( آمالگام cave تولید هلند ، آمالگام gk تولید چین )
2.ترمیم کامپوزیت
- (کامپوزیت VOcO آلمان ، GC ژاپن ، BISICO آلمان ، DENFILL کره جنوبی )
- ساختن کامل تاج دندان عصب کشی شده ( بیلد آپ کامپوزیت ) بوسیله پست فایبر در یک جلسه 20 دقیقه ای .( فایبر پست gc ژاپن ، سمان درال کورپاناویا)
- تعویض ترمیم های قدیمی با کامپوزیت
|
كامپوزيت دنفيل كره جنوبي |
كامپوزيت GCژاپن |
كامپوزيت اسپكتروم سوئيس |
كامپوزيت voco المان |
|
كامپوزيت مايع اوپاليس كره جنوبي |
كامپوزيت پوشش دهنده رنگ كازمادنت امريكا |
ماده كف بندي ( محافظ عصب ) اولترادنت امريكا |
كامپوزيت ژاپنيAPX |
|
ماده كف بندي سيلانت المان (عايق سرما) |
در تصویر زیر سطح پشتی دندان نیش بالا (سمت راست تصویر ) بوسیله کامپوزیت وکو المان ترمیم شده است.
| قبل از درمان | بعد از درمان |
![]() |
![]() |
رفع مشکل گیر غذایی بین پرکردگی ها
زمانیکه یک دندان دچار پوسیذگی می شود ، نیاز به مئاخله دندانپزشکی دارد تا ضمن پوسیدگی ها ، توسط مواد ترمیمی پر شود .
تراش و حذف پوسیدگی ها توسط یک وسیله آشنا انجام می شود .
توربین : یکی از سریعترین وسایل چرخنده صنعتی که همراه با اسپری شدید آب و هوا مانع داغ شدن منطقه تراش می شود .
کف بندی چیست ؟
اگر میزان پوسیدگی ها زیاد باشد ، عمق حفره روی دندان نیز زیاد است و اگر این حفره توسط مواد ترمیمی پر شود طبعا حساسیت به سرما بعد از درمان بروز می کند . بنابراین دندانپزشکان از مواد عایق به سرما زیر ماده ترمیمی استفاده می کنند . که به این مواد عایق کف بندی گویند .
کف بندی مورد استفاده در کلینیک دندانپزشکی نیام یک نوع گلاس اینور نوری ساخت کمپانی اولترادنت آمریکاست .
استفاده صحیح ئ بجا از مئاد کف بندی نیاز به تجربه و تبحر دندانپزشک دارد .
چرا که استفاده از حجم زیاد این مواد در یک حفره کوچک ، فضای مواد اصلی ترمیمی را کم می کند و آنها را شکننده می کند .
اگر دندانپزشک بابت گذاردن مواد کف بندی در کف حفره ، از بیمار هزینه اضافی طلب می کند ، در واقع هزینه تبحر و تجربه سالیان کار خود را می گیرد ، نه هزینه آن متده مصرفی را .( ماد کف بندی ارزان قیمت هستند .)

ماده كف بندي گلاس اينومر GC ژاپن
انواع مواد ترمیمی:
1. آمالگام ، همان ترمیم های تیره رنگ یا به اصطلاح عوام سربی .آمالگام از مخلوط جیوه با پودر نقره و مس ساخته می شود .
به دیواره دندان با جسب می چسبد، بلکه در حفره گیر می کند .(مانند فشردن روزنامه داخل لیوان )
2 . کامپوزیت ( مواد همرنگ دندان )
کامپوزیت ها زیباترند . اما برای استفاده از آنها نیاز به یک دندانپزشک متبحر دارید . زیرا آنها با چسب به دندان متصل می شوند .
کامپوزیت ها رنگ بندی دارند (A1-A2-A3-B1-B2 )
این عقیده قدیمی که استحکام کامپوزیت ، کمتر از آمالگام است ، صحیح نیست برای برخی دندانها و برخی افراد کامپوزیت بهتر است ، برای برخی دیگر آمالگام . در دهانی که بهداشت ضعیفی دارد و تعداد زیادی دندان پوسیده در آن هست ، استفاده از کامپوزیت ها صحیح نیست .
در زیر نمونه ای از مراحل دندان را به همراه عکس های آن برایتان توضیح داده ایم .
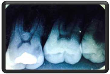
|
دندان شماره 6 پرکردگی آمالگام(سربی) قدیمی دارد |
در رادیوگرافی با کیفیت بالا توسط دستگاه دیجیتالی 3disk کمپانی امریکا. پوسیدگی وسیع در محل مشخص شده دیده شد. |
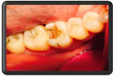
|
پس از بی حسی درمان با حذف پرکردگی قبلی آغاز شد |
پوسیدگی ها کامل حذف شدند |
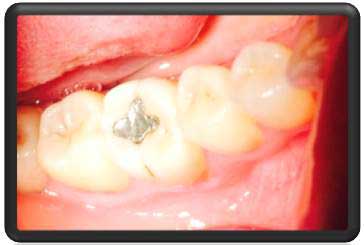
|
بدلیل نزدیکی به عصب ماده ای که نقش عایق دارد در کف حفره گذاشته شد. این ماده ساخت کمپانی اولترادنت آمریکاست |
بعد از بستن قالب مخصوص voco حفره توسط کامپوزیتآلمان پرشد |

















