سه شنبه, 27 خرداد 1399 ساعت 09:46

درمان پوسیدگی های سطح ریشه

نوشته شده توسط 

درمان رمیترالیزاسیون و شیارها و فیشورسیلانت

درمان رمیترالیزاسیون و شیارها و فیشورسیلانت، روش های ترجیحی برای مدیریت ضايعات کرونالی غیر حفره دار هستند که به عاج نفوذ نکرده اند.هم چنین رمیترالیراسیون برای ضایعات سطوح ريشه که کانتور سطحی شان شکسته و نرم شدگی وجود ندارد تجويز پیدا می کند.

رمیترا الیزاسیون احتیاج به همکاری بیمار در سطح بالا در زمینه رژیم درمانی و جلسات فراخوانی متداوم برای دستیابی به موفقیت در درمان دارد. اگر پیشرفت شایعه ای در جلسات مشخص شود مداخله ترمیمی اندیکاسیون پیدا می کند .

پوسیدگی دندان

استثناهایی در ارتباط با قانون عمومی مدیریت ضایعات مینایی غیر پوسیده از طریق رمیترالیزاسیون وجود دارد از آنجاییکه رمیترالیزاسیون نیاز به تغییری در بالانس حساس و بیوفیلم دهانی دارد، به شدت به تغییر در رفتار بیمار بهبود مراقبت خانگی رژیم غذایی و گیرد.

برای مشاهده قیمت عصب کشی دندان به صفحه لیست قیمت ها مراجعه نمایید.

 به کاربرد زمان بندی شده مواد آنتی باکتریال فلوراید و دیگر عوامل رمیترالیزاسیون بستگی دارد، بنابراین، وقتی که بیمار در دنبال کردن بردیم رمیترالیزاسیون تجویز شده برای مراقبت خفگی و مراقبت حرفه ای ناکام یا ناتوان بماند .اغلب مناسب است که ای ضایعات را با درمان های ترمیمی درمان کنیم.

 رستویشتی که به برداشت دائمی ساختار دندانی نیاز دارد، معمولا تا ابد دوام نمی آورد مطالعات نشان داده اند که طول عمر یک ترمیم از ۵ تا بیش از ۱۵ سال است وقتی که ترمیمی جایگزین می شود بدون توجه به این مسئله که عمل کننده تا چه حد به دقت ترمیم های موجود را بر دارد. ساختار دندانی بیشتری برداشته می شود. این وضعیت منجر به حالتی می شود که اصطلاح ناميده مي شود که به ترمیم های تهاجمی بزرگتر و بیش تر در طی دوره زندگی بیمار منجر می گردد.

درمان ابریژن اروژن ایفرکشن و اتریشن

 شرایط ترمیم نواحی دارای ابریژن یا اروژن

(1) ناحیه پوسیده باشد

(۲) نقص موجود به حد کافی برای مخاطره انداختن یکپارچگی ساختاری دندانی عمیق بلند

(۳) حیات غیر قابل تحملی وجود داشته و به درمان های ضد جا جواب ندهد

(۴) نقص مرتبط با مشکلات پریودنتال باشد

(۵) آن ناحیه جزئی از طراحی دنچرپارسیل  متحرک باشد.

(۶)عمق ضایعه نزدیک به پالپ به نظر می رسد

(۷) نقص به طور فعالی در حال پیشرفت باشد یا

(۸) بیمار خواهان بهبود زیبایی باشد نواحی مشخصی از اتریشن که که عاج ساییده اند حساس یا آزار دهنده ه اند باید ترمیم شوند.

 قبل استفاده از ترمیم های غیر مستقيم آنالیز كامل اکلوژن و مصاحبه كامل با بیمار با توجه به انیولوژی باید با هم جمع شوند تا فاکتورهای مرتبط با هم کاهش یابد هم چنین درمان با گارد اکلوزالی هم باید در نظر گرفته شود.

درمان پوسیدگی های سطح ریشه

پوسیدگی های ریشه در بزرگسالان مسن و بیماران تحت درمان پریودنتال رایج   افزایش تعداد بیماران مسن و نگهداری دندان مرتبط با این مشکلات در حال افزایش این نواحی دارای پوسیدگی های سطح ریشه در صورت شواهد بالینی با رادیو گرافیکی حاکی از حفره دار شدن معمولا باید ترمیم شوند، ضایعات غیر فعال با متوقف شده عاج اسکلروتیکی دارند که در اثر رنگ های خارجی تهیه شده است و هنگام لمس با سوند سخت و خشن اما فایل تمیز شدن هستند .

و در بیمارانی دیده می شوند که بهداشت دهانی و رژیم غذایی شان بهبود یافته است. عموما این ضایعات نباید ترمیم شونده مگر به دلیل زیبایی و به درخواست بیمار. اگر مشخص شود که این ضایعات نیاز به ترمیم دارند. قابل ترمیم با مواد همرنگ دندان با آمالگام هستند.

 پیشگیری بر ترمیم ارجح است و پیشنهاد می شود که مراحل پیشگیرانه مناسب مانند بهبود رژیم غذایی و بهداشت دهانی و فلوراید تراپی با یا بدون سمنتوپلاستی به امید اجتناب از شکست پوسیدگی و به عنوان نیازی برای ترمیم انجام شود.

درمان حساسیت های سطح ریشه

 تنها توضیح پذیرفته شده در ارتباط با این الگو، تئوری هیدرودینامیک می باشد که بر این اصل استوار است که درد ناشی از عصب رسانی غیر مستقیم است که باعث حرکت مایع عاجی در توبول ها می شود و مکانورسپتورهای نزدیک ناحیه pre را تحریک می کند. برخی از دلایل حرکت مایع، تغییرات دمایی، خشک کردن با هوا و فشار اسموتیک می باشند. هر گونه درمانی که بتواند حرکت مایع را با بهم فشردن کامل با ناقص توبول ها کاهش دهد می تواند حساسیت را کم کند.

 افزایش حساسیت عاجی یک مشکل خاصی برای برخی بیماران است که سریعا پس از جراحی پریودنتال ایجاد شده و ناشی از اکسپوژر کلینیکال سطح ریشه می باشد. درمان ها شامل وارنیش های فلوراید، محلول های اگزالات، ادهزیوهای بابیس زرینی، سیلانت ها و خمیردندان های ضد حساسیت که شامل پتاسیم نیترات می باشند.

مواد رزینی (باندینگ) بهترین میزان موفقیت را داشته اند در صورت شکست در این درمان ها درمان ترمیمی اندیکاسیون پیدا می کند.

تعمیر و ترمیم های موجود دندان

اغلب آمالگام، کامپوزیت با ترمیم های غیر مستقیم قابل تعمیر با ریکانتورینگ بدون نیاز به برداشت کامل و جایگزینی هستند. شواهدی در حال افزایش است که نشان می دهد برداشت و جایگزینی منجر به سیکل می شود و باعث افزایش تهیه حفره دندان به طور وسیع تر و تروما به دندان و ساختار های حمایت کننده اش می گردد.

 بعلاوه تعمیر یا کامپوزیت ها و تعمیر ترمیم های ریختگی به نظر مؤثر می آید هم چنین ترمیم های آمالگام دارای نقص های موضعی، قابل تعمیر با آمالگام با سیلانت های رزینی هستند اگر یک ترمیم نقص ایزوله ای داشته باشد که حین کار کشف شود و بدون پوسیدگی باشد، از طریق تعمیر یا کانتور دهی مجدد قابل است .

عموما، یک ترمیم نباید جایگزین شود مگر اینکه

(۱) دیگر پانی مارجینال مشخصی داشته باشد

(۲) دندان در خطر پوسیدگی با شکست باشد

(۳) ترمیم فاکتوری اتیولوژیک برای آسیب به دندان با بافت های مجاور محسوب شود. در بسیاری از مواردی ریکانتورینگ یا ترمیم موجود می تواند جایگزینی را به تأخیر بیاندازد.

 اندیکاسیون جایگزینی ترمیم شامل موارد زیر است:

(۱) حباب مارجینال مخصوصا در ۱/ ۳ جینجیوانی که قابل تعمیر نباشد

(۲) کانتور برگزيمالی ضعیف واورهنگ جینجیوانی که مرتبط با تخریب پریودنتال انت

(۳) دیسگریانی مارجینال ريح که مرتبط با گیر غذایی است

(۴) اور کانتورینگ سطح فاشیال با لینگوال که به تجمع پلاک در جینجوال حداکثر برجستگی دندان و التهاب لثه منجر می گردد.

به طوریکه از عمل پاکیزه سازی لقمه های غذا با مسواک ممانعت می کند

(۵) کانتکت پرگزیمالی ضعیف که باز باشد منجر به گیر غنایی در استرپرگزیمال شده و التهاب پاپی لثه فشرده را به همراه دارد و از نظر سایر و موقعیت با مناسب است

(۶) پوسیدگی راجعه که نمی تواند به طور مناسب با تعمیر ترمیم درمان شود

(۷)عمیق تر از ۰ / ۵ میلی متر در مارجین اکلوزالی آمالگام که پوسیدگی دارد یا مستعد به پوسیدگی است.

وجودد كم عمق اطراف ترمیم های امالگام به تنهایی اندیکاسیونی برای جایگزینی ترمیم محسوب نمی شود.

 اندیکاسیون جایگزینی توصیه های هم رنگ دندان شامل

(۱) کاتور با ملی که قابل تعمیر نباشد

(۲) حساب های وسیع

(۳) رنگ گرفتگی مارجینال به طور وسیع

(۴) پوسیدگی های راجعه و

(۵) زیبایی غیرقابل قبول می باشد. ترمیم هایی که رنگ گرفتگی مارجینالشان روشن بوده و بدون پوسیدگی به نظر می رسند قابل اصلاح یا تعمیری درحد مارجینال به صورت باریک و کم عمق هستند .

هر چند استفاده از آمالگام ایمن تلقی می شود. اما هنگام برداشتن آن از دندان، اثرات محیطی نا خوشایند ناشی از جیوه و زباله آمالگام ممکن است به وقوع بپیوندد ترمیم با کامپوزیت های مستقیم برای درمان بسیاری از ضایعات دندانهای قدامی و خلفی اندیکاسیون پیدا می کند .

به علت پتانسیل ترمیم باند شونده در افزایش استحکام ساختار دندانی باقیمانده، ترمیم های به رنگ دندان غیر مستقیم، ممکن است برای ترمیم های محافظه کارانه دندان خلفی ضعیف شده در مناطق مهم از نظر زیبایی انتخاب شوند.

 اندیکاسیون ترمیم های ریختگی فلزی غیر مستقیم: ترميم فلزی ریختگی ممکن است درمان انتخابی برای بیماران تحت باشد. هم چنین دندان دارای مارجین های زیر لثه ای عمیق به طور مناسبی قابل درمان با ترمیم های و ریختگی فلزی است.

ملاحظات درمانی برای بیماران مسن

 تغییرات دهانی مرتبط با کمبود تغذیه سایر بی ایمنی، دهیدراتاسیون، سیگار کندن استفاده از الکل، بیماری ها، داروها و مشکلات دندانی منجر به کاهش احساسی جنایی و پویایی در افراد مسن می گردد. احساس مزه شوری و تلخی و عملکرد بویایی به دنبال افزایش سن کاهش می یابد.

در حالیکه احساس شیرینی و ترشی اینگونه است در نتیجه غذاها بی مزه به نظر می رسند و اشتها کم می شود و شکر چربی و نمکی برای افزایش مطعم اضافه می گردد. افراد با کمبود تغذیه ای غذاهای با کالری زیاد نوشیدنی هایی که از نظر تغذیه ای کامل اند و غنی از شکر هستند. مصرف می کنند.

 سیگار حس چشیدن غذاها را با عوامل پوشاننده فیزیکی زبان و عقب نشینی جوانه های جنایی زبان و رسپتورهایی بویایی در سقف حفره بینی در طی زمان کاهش می دهد. مصرف ناکافی مایعات می تواند منجر به دهیدراتاسیون مزمن شود و حس چشایی را تغییر دهد. این اعمال خطر بیماری های دندانی را در این جمعیت افزایش می دهند ارزیابی رژیم غذایی و مشاوره در بیماران مسن حیاتی است.

 تا رژیم های ناکافی را مشخص کند و تغییراتی را برای بهبود حس چشایی و بویایی ایجاد کننده در حالیکه خطر بیماری دندانی را کمتر می کند. ادویه های گیاهی را به جای نمک و شکر به طعم غذا می افزایند. محرک های ترشح بزاق، آب نبات های حاوی زایلتول یا دیگر شکرهای جایگزین، مسواک ها با برس های زبانی کنار گذاشتن سیگار برخی از راه حل های مکمل اند که می توانند اندکی حس چشایی و پویایی را در افراد مسن تقویت کنند.

 پوسیدگی های دندانی مخصوصا پوسیدگی های ریشه مشخص ترین دلیل از دست رفتن دندان در افراد مسن می باشند. برداشت غیر موثر پلاک، گزروستومیا رژیم های غذایی نرم غنی از شکر، پروتزهای ثابت و متحرک، ابریژن در ناحيه تحلیل لثه و تحلیل استخوان ناشی از بیماری پریودنتال، سطح ریشه را در مقایسه با دیگر سطوح مستعد به پوسیدگی می گردانند.

 ترمیم های سطح ریشه از نظر موفقیت شان چالش برانگیزند و در خطر پوسیدگی عود کننده در آینده هستند. انتخاب دقيق طرح ترمیمی مواد و نحوه پرداخت می توانند طول عمر و قابلیت تمیز نمودن ترمیم را به حداکثر رساند بسیاری از دندان پزشکان ترجیح می دهند که تهاجمی تر مداخله کنند تا اینکه از روش استفاده کند‌‌.

 هر چه که دندانهای بیشتری حفظ شوند و ترمیم های وسیع تری داشته باشند در خطر شکست با پوسیدگی ثانویه هستند و باید به روش های به صرفه از نظر اقتصادی و خلاقانه برای ترمیم دندان ها توجه نمود مخصوصا در افراد من که از نظر بودجه در محدودیت هستند.     

خواندن 33746 دفعه آخرین ویرایش در سه شنبه, 27 خرداد 1399 ساعت 10:21
محتوای بیشتر در این بخش: « درمان مجدد در عصب کشی دندان

آدرس و شماره تلفن

  • آدرس : انتهای بوستان دوم پاسداران ، دور میدان بنی هاشم، ساختمان دایموند ، طبقه اول، واحد 3
  • ایمیل : info@niamclinic.com
  • تلفن  :02122326172
  • موبایل : 09363020118
  • کاغذ دیواری
  • پوستر دیواری
  • کاغذ دیواری سه بعدی
  • پوستر دیواری سه بعدی
  • پوستر سه بعدی
  • عصب کشی دندان
  • سه نوع روکش دندان در دندانپزشکی مرسوم است :

    چسب روکش دندان :

    به آنچه روکش را روی دندان حفظ می کند، سمان ( Cement ) می گویند.

    خارج کردن روکش از روی دندان :

    گاهی می توان روکش دندان را با چند ضربه از روی دندان جدا کرد. وسیله ای به نام Crown Remover اینکار را انجام می دهد.

    در صورتیکه این وسیله کارساز نباشد، باید توسط فرد مخصوص روکش دندان بریده شود و سپس وسیله ای را در خط برش اهرم کنیم و روکش دندان را خارج نماییم.

    اگر قرار باشد دندان زیر روکش کشیده شود، دیگر نیازی نیست که ابتدا روکش دندان را خارج کنیم. می توان روکش را به همراه دندان خارج نمود. در صورتیکه روکش با برش خارج شود، دیگر قابل استفاده نیست.

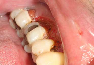
    يك دندان زير روكش سه واحدي بيمار عفوني شده نيازست روكش دندان خارج شود.

    روكشهای دندان با فرز بريده شدند

    با برداشته شدن روكش ها التهاب و عفونت دندان شماره ٦ ( سومين دندان از سمت راست ) قابل مشاهده است .

    قالبگیری روکش دندان :

    بعد از تلاش و آماده سازی دندان، قالبگیری انجام شده و به لابراتوار ارسال می شود، تا حدود یک هفته بعد روکش دندان جهت تحویل به بیمار آماده می شود.

    مواد قالبگیری در کلینیک دندانپزشکی نیام متعلق به کمپانی پاناسیل آلمان هستند.

    مقالات مرتبط: