کیست و تومورهای فک
کیست و تومورهای فکی
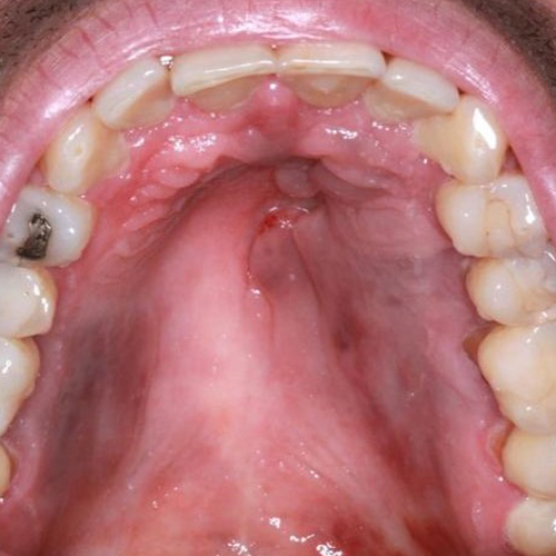
بسیاری از کیستها و تومورها در استخوان فک شکل میگیرند و برخی از آنها بر روی لثه و مخاط دهان.
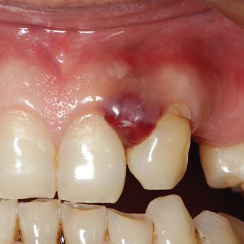
۱) پیوژنیک گرانولوما: یک ضایعه برجسته روی لثه است ( البته گاهی روی زبان و سایر مخاط هم دیده میشود) با کوچکترین دستکاری خونریزی میکند و اندازه آن شاید به چندین سانتی متر هم برسد. دلیل بروز آن شاید جرم زیر لثه باشد و شاید تغییرات هورمونی در زنان به ویژه در ایام بارداری.
۲) فیبرومای تحریکی: ضایعه تومورال روی لثه و مخاط به ویژه در زنان میانسال و شایعتر در فک پایین. خوش خیم است و بهتر است که به وسیله جراحی حذف شود. فیبروم مرکزی داخل استخوان شکل میگیرد و باعث تخریب استخوان هم میشود.
۳) رادیکولار کیست: در داخل استخوان فک (شایعتر در فک ناحیه جلو) زیر یک دندان پوسیده یا قبلاً عصب کشی شده بروز میکند.
۴) کیست رزیجوال از نظر ماهیت مشابه به کیست رادیکولار است.
۵) دنتی ژوروس کیست: یکی از شایعترین کیستهای دهان است که در داخل استخوان فک (به ویژه اطراف دندان عقل نهفته فک پایین) شکل میگیرد.
باید در اولین زمان ممکن به وسیله جراحی خارج شود. در رادیوگرافی به شدت رادیولوسنس است و به ندرت تغییرات بدخیمی در دیواره آن رخ می دهد.
۶) باکال بای فورکیشن کیست: در عقب فک پایین رخ میدهد. در برخی موارد خود به خود از بین میرود.
۷) ادنتوژنیک کراتوسیست: در بخش عقب فک پایین شایعتر است (از سن ۱۰ تا سی سالگی بیشتر رخ میدهد). هرگز بدخیم نمیشود اما در طول استخوان می تواند رشد کند و تخریب استخوانی وسیعی ایجاد کند بدون آنکه تورم رخ دهد.۸) آملوبلاستوما: یک تومور خوشخیم است در داخل استخوان فک (به ویژه فک پایین در قسمت عقب) که میتواند تورم مشهود ایجاد کند. این تومور در برخی موارد تهاجمی است و سرعت و شدت تخریب زیادی دارد.
در اولین فرصت به وسیله جراحی باید حذف شود.
۹) اسکواموس پاپیلوما: یک ضایعه برجسته روی مخاط دهان است که محصول پرولیفراسیون خوشخیم سلولهای اپیتلیالی میباشد. علت آن ویروس پاپیلومای انسانی (HPV) است.
شایع ترین مکان آن مرز کام نرم و سخت است.
رنگ آن اغلب سفید و گاهی صورتی است. خیلی بزرگ نمیشود و صد البته در جوانان بیشتر رخ میدهد.
اکثر تومورهای فکی خوشخیم هستند اما به ندرت ضایعات بدخیم و یا بسیار تهاجمی هم مشاهده میشوند. به وسیله نمای رادیوگرافی یا بیوپسی از استخوان فک میتوان تا حد زیادی ماهیت ضایعات استخوانی را تشخیص داد. به همین دلیل به همه افراد توصیه میکنم هر دو سال یک بار یک رادیوگرافی جامع (مانند پانورامیک) از فک تهیه کنند تا هرگونه ضایعه قبل از پیشرفت کشف شده و درمان شود ( به ویژه افرادی که دندان نهفته در دهان دارند).
استئوسارکوما، سارکوم یووینگ، کندروسارکوما، سارکومهای متاستاتیک، SCC مرکزی از جمله تومورهای سرطانی استخوانهای فک هستند.
تصاویری از تومورهای دهانی
















