ارزیابی ریسک و کنترل پوسیدگی ها
ریسک فاکتور( پر کردن دندان ) به عنوان فاکتور های محیطی ، رفتاری با بیولوژیکی تعریف می شود که به طور مستقیم امکان ایجاد بیماری را کاهش می دهد.
ریسک فاکتور ها بخشی از زنجیره ایجاد کننده ی بیماری هستند، به عبارت دیگر ،آن ها میزان در معرض زنجیره ی ایجاد کننده ی بیماری قرار می دهند ولی وقتی بیماری اتفاق می افتد برداشت ریسک فاکتور ها باعث توقف بیماری نشود، بنابراین مطالعات طولی برای نشان دادن ریسک فاکتور ها ضروری است .
به علائم موجود در روند بیماری با علائمی که در روند بیماری اتفاق می افتد،اشاره می کند. ولی بخشی از زنجیره ی ایجاد کننده بیماری نیست برای مثال ضایعات پوسیدگی های موجود می توانند ( پر کردن دندان ) باشند .
ارزیابی خطر پوسیدگی ها علم دقیق نیست زیرا پوسیدگی یک بیماری مولتی فاکتوریال است و هیچ ریسک فاکتور منفردی پوسیدگی های آینده را به درستی پیش بینی نمی کند. اگرچه ارزیابی خطر پوسیدگی برای فهمیدن اینکه چه مداخلهای برای کاهش خطر و فعالیت پوسیدگی مورد نیاز است، ضروری است .
ارزیابی خطر پوسیدگی ها در دو گروه بررسی می شود . ۱ بزرگسالان و نوجوانان بزرگ تر از ۶ سال ۲ -کودکان کوچک تر از ۶ سال بعضی از ریسک فاکتور ها و فاکتور های محافظتی نی توانند توسط بیمار یا کلینیسین تنظیم شوند یا تغییر داده شوند.مثل ساکارز دریافتی و اکسپوژر به فلوراید،سایر ریسک فاکتور ها مثل گزوستومیا در نتیجه دارودرمانی قابل تغییر نیستند. درک و کنترل ریسک فاکتور هاو فاکتورهای محافظتی می تواند در پیشگیری از ضایعات پوسیدگی جدید و توقف پیشرفت ضایعات پوسیدگی موجود بسیار مهم باشد .
واژه های ارزیابی خطر پوسیدگی ( پر کردن دندان )و غیره هستند.این واژه ها به طور تیپیک بر پایه ی قضاوت فردی و با قوانین به کار رفته بر پایه ی تجربیات کلینیک قبلی می باشد .
قویترین پیشگویی کننده برای خطر پوسیدگی برای بیماران گروه( پر کردن دندان )تعداد ضایعات پوسیدگی جدید در ۲ تا ۳ سال اخیر همراه با تاریخچه ی پوسیدگی در طول زندگی بیمار است .
ارزیابی ریسک برای ایجاد طرح کنترل پوسیدگی ها مبتنی بر شواهد به طور فردی استفاده می شود که شامل تمام جنبه های درمان های غیر جراحی و مداخلات جراحی دندانی است.هم ارزیابی خطر و هم مداخلات بیمارمحور هر دو بر پایه ی نظر و عقیده تعادل پوسیدگی است .
در آمریکا یکی از سیستم هایی که اغلب استفاده می شو د ( پر کردن دندان )است.(کنترل پوسیدگی ها با استفاده از ارزیابی خطر)

ارزیابی ریسک پوسیدگی ها
بخشی از ارزیابی خطر پوسیدگی ،فاکتور های مسبب را مشخص می کندکه ریسک فاکتورها نامیده میشود. ولی نتیجه ی پوسیدگی ها پیشگویی نمی کند. ریسک فاکتور ها می توانند در بیمار وجود داشته باشند بدون اینکه بیمار در همان زمان بروز کند .
قسمت پیشگویی کننده ی ارزیابی خطر به تخمین میزان پیشرفت پوسیدگی ها در آینده توجه می کند. ریسک فاکتور ها قبل از بروز بیماری حضور دارد، در حالی که( پر کردن دندان )ها علامت های موجود در پروسه ی بیماری هستند. آن ها نمونه هایی از اتفاقاتی هستند که وضعیت کنونی وضعیت دهان بیمار رخ می دهند نه این که بیماری چگونه اتفاق می افتد .
( پر کردن دندان )ها مشاهدات کلینیکی و ابزارهای تشخیصی هستند که برا ی تعیین وضعیت سطح خطر، استفاده می شوند ؛ مثال ها شامل تشکیل حفره اشکار در پیت و فیشورها یا در سطوح پروگزیمال دندان ها (پر کردن دندان) ها ی فعال یا ضایعات حفره دار شده روی سطوح صاف آزاد و همچنین هرگونه رستوریشتی در ۳ سال گذشته می باشد. شناخت فاکتورهای خاصی مربوط به تاریخچه بیمار در ارزیابی خطر پوسیدگی کلیدی است چنین فاکتورهایی که در خطر پوسیدگی نقش دارند.
شامل سن، جنس، اکسیوژر به فلوراید مراقبت در منزل، عادات مصرف سیگار، الکل ، داروها، عادات تغذیهای وضعیت اقتصادی و فرهنگی و سلامت افزایش مصرف سیگار و الکل، مصرف داروها و دریافت ساکارز باعث افز ایش خطر ایجا د پوسیدگی میشود. کودکان و بزرگسالان مسن تر ریسک بیشتری دارند.کاهش اکسیوژر به فلوراید ، وضعیت اقتصادی و فرهنگی پایین و سلامت عمومی ضعیف نیز خطر ایجاد پوسیدگی را بیشتر می کند. مدارک قوی پیشنهاد میکند که تجربه پوسیدگی قبلی ، بهترین پیش گویی کننده فعالیت پوسیدگی در آینده است .
وضعیت اجتماعی ، اقتصادی و فرهنگی
وضعیت اجتماعی و اقتصادی بطور مستقیم روند بیمار ی را درگیر نمی کند ولی مهم است زیرا روی تظاهر و کنترل بیماری پوسیدگی تاثیر می گذارد وضعیت اجتماعی اقتصادی و فرهنگی بیمار روی همکاری و تغییرات رفتاری که می توان د خطرات پوسیدگی را در بیمار کاهش دهد، مؤثر است. این ها در سطح جامعه قابل پیش بینی است ولی عموما در سطح فردی دقیق نیست.
ارزیابی تغذیه ا ی
استفاد ه مکرر از آب نبات ها و سقز د ر طول روز یا شب رنگ پوسیدگی را افزایش می دهد نوشیدنی های اسیدی شامل: نوشیدنی های ورزشی ( پر کردن دندان )آبمیوه ها و نوشابه ها که ازطریق فراهم کردن انرژی برای باکتری های اسیدوژنیک و اسیدوریک و نیز از طریق تاثیر رویph بیوفیل م برای حمایت از باکتری پوسیدگی زا باعث افزایش ریسک پوسیدگی می شوند، تناوب مصرف اسنک ها و نوشیدنی ها همگی باعث افزایش ریسک فاکتورهای بیولوژیک پوسیدگی از طریق تغییر بیوفیلم و ایجاد محیط ی با pH پایین تر می شوند .
ارزیابی بزاق: سرعت جریان بزاق ، قابلیت باقرسازی و pH همگی می توانند با تست ها ی مختلف انداز ه گیری شوند. این تست ه ا ارزش ( پرکردن دندان ) با لایی ندارند. بیماران با جریان بزاق خوب و قابلیت بافر سازی کافی هم می توانند پوسیدگی داشته باشند.در موارد خشکی دهان با گزوستومیا،
ارزیابی بزاق یک ریسک فاکتور پیشگویی کننده برا ی پوسیدگی ها ی ریشه در بیماران مسن تر دارای تحلیل الله و بر ای افزایش کلی پوسیدگی در سایر جمعیت هاست .بزاق اثرات زیادی در پیشگیری از پوسیدگی ها دارد که شامل مهار باکتری ها رقیق کردن و حذف باکتری ها و سوی ستراهای آن ها، بافر کردن اسید باکتر ی ها و ایجاد یک محیط جبرانی (پوسیدگی دندان) با مواد معدنی کلسیم و فسفات ضروری بعد از دمیترالیزاسیون ا یجاد شده توسط باکتر یهاست .
این بیماران حساسیت بیشتری به تغییرات تغذیه ای همرا ه با غذاهای با pH پایین تر و غذاها و نوشیدنی های حاوی کربوهیدرات های قابل تخمیر دارند ، زیرا فاکتورهای محافظتی بزاق در بیماران دارای گزوستومی ا کاهش پید ا می کند .
ارزیابی کلینکی دندان (معا ینه دندان ها )
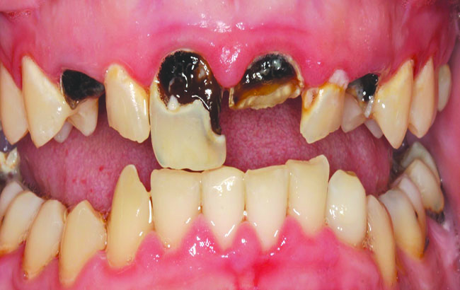
معاینه دندانی، ( پر کردن دندان )را بیشتر از ریسک فاکتورها تعیین می کند این هم مهم است چون بسیاری از ها بطور مستقیم وابسته به فعا لیت پوسیدگی فعلی هستند ( پرکردن دندان )و فعالیت پوسیدگی ، نو ع مداخله ای که کلینیسن باید انجام دهد را تعیین می کنند .ضایعات پوسیدگی با تشکیل حفره آشکار ( پرکردن دندان) روی دندان ها ر یسک پو سیدگی هستند پلاک و بیوفیلم می تواند به عنوان ریسک فاکتور برای ایجاد پوسیدگی در نظر گرفته شو د .
سایر بافته ها ی حاصل از معاینه که در افزایش ریسک پوسیدگی موثرند شامل: سطو ح ریشه ا ی اکسیوز، پیت و گروه های عمیق ، پروتزهای ثابت و متحر ک و اپلایتس ها ی ارتودنسی رستوریشن های موجود با کیفیت پایین با کانتاکت باز مارژین ها ی باز یا اورهنگ هامی باشند .
ارزیابی بیوفیلم باکت ریال
استفاد ه از تستها ی تک میلی برا ی ارزیاب ی اجزا ء باکتریال بیوفیلم می تواند در تعیین سطح خطر بیمار کمک کننده باشد . با این حال، شواهد مبنی بر اینکه این تنها پوسیدگی های آ ینده ر ا پیش بینی کنند ، ضعیف است و احتمال توسط معاینه کننده هم وجو د دارد به عنوان مثال نشان داده شده که حضور استرپتوکو ک موتانس با لاکتوباسیل در بزاق با پلا ک به عنوان تنها پیشگویی کننده برای پوسیدگی ها در دندان های شیری حساسیت پایین ولی ویژگی بالایی دارد .
روش دیگر برا ی نت باکتریال، فعالیت ATP بیوف یلم باکتریال است. اگرچه این تنهای باکتریال می تواند برای ارتباط با بیمار مفید باشد و می توانند نو ع باکتری موجود در بیوفیلم محیط حاضر را تعیین کننده ولی این تست ها نیاز به مطالعات بیشتری دارند .
ملاحظات خطر بر ای کودکان زیر 6 سال علاوه بر تمام ریسک فاکتورهای با لا برا ی بزرگسالان و نوجوانان ، ریسک فاکتورها و ( پر کردن دندان ) های وابسته بهم هم باید در کودکان دار ۶ سال در نظر گرفته شوند که شامل وجو د پوسیدگی فعال در دندان های شیری در کودکان تحت مراقبت در سا ل گذشته ، شیر خوردن پس از یک سالگی، مصرف شیشه شیر یا در زمان خواب با موادی غیر از آب، عدم نظارت در مسواک زدن و هیپوپلازی مینایی شدید .
جدول ارزیابی ریسک پوسیدگی در افراد با لای ۶ سا ل در ۳ زیر گروه مورد بررسی قرار می گیرد :
در این فرم ۳ امتیاز 1 . ۱۰ . - وجود دارد که به ترتیب به معنی (پوسیدگی دندان) ریسک می باشند .
- اکسپوژر به فلوراید: با عدم استفاده از فلوراید دارا ی ریسک متوسط و با استفاده در یک کم فرار می گیرد
- غذ ا یا نوشیدنی های قندی: با استفاد ه از غذاها و نوشیدنی های حا وی قند با شکر در وعده های غذای ی به طور خاص در گروه ریسک کم و با استفاده ی مکرر بین وعده ها ی غذایی در گروه ریسک بالای پوسیدگی قرا ر می گیرد .
- سابقه پوسیدگی مادر با پرستار با خواهر و برادر و بر ای سنین 6 تا ۱۴ سال: بر صورت عدم بروز پوسیدگی در ۲۴ ما ه اخیر در گروه با ریسک کم پوسیدگی بروز پوسیدگی در ۷ تا ۲۲ ماه ا خیر در گروه پوسیدگی متوسط و در صورت بروز پوسیدگی در ۶ ماه اخیر در گروه ریسک با لای پوسیدگی قرار می گیرد .
- مراجعه منظم به دندانپزشک جهت تثبیت یافته های وی در مطب : با عدم مراجعه به مطب جهت دریافت دستورات بهداشتی دارای ریسک متوسط و با مراجعه در ریسک کم قرار می گیرد .
- نیازمند مراقبت های درمانی ویژه
- کمو رادیو تراپی
- اختلالات تغذیه ای، داروهای کاهنده بزاق
- مصرف دارو الكل
در صورت نیاز به مراقبت ها ی درمانی ویژه در سنین ۶ تا ۱۴ سال دارا ی ریسک با لای پوسیدگی در صورت نیاز به مراقبت ها ی درمانی ویژه در سنین بالای ۱۴ سال دارا ی ریسک متوسط پوسیدگی در صورت نیاز به کمورادیوتراپی بیمار دارای ریسک با لای پوسیدگی و در صورت عدم نیاز دار ای ریسک کم پوسیدگی می باشد با وجود اختلالات تغذیه ا ی بیمار دارا ی ریسک متوسط و با نبود آن بیمار در ر یسک کم پوسیدگی قرار می گیرد با استفاد ه از داروهای کاهنده بزاق دارای ریسک متوسط پوسیدگی و در صورت عدم استفاده دار ای ریسک ک م پوسیدگی می باشد. مصرف دارو الكل بیمار در گروه با ریسک متوسط پوسیدگی و با عدم استفاده در گروه با ریسک کم میباشد .
پوسیدگی حفره دار یا بدون حفر ه (اولیه) با ترمیم و پوسیدگی قابل مشاهد ه با چشم با رادیوگرافی :
از دست رفتن دندان به علت پوسیدگی در ۳۶ ماه گذشته -پلا ک قابل مشاهده - مورفولوژی غیر طبیعی دندان (مانع حفظ بهداشت دهان) -ترمیم ها یا ینترپروگزیمال -سطوح عریان ریشه ترمیم ها ی دار ای اورهنگ و مار چین باز با کانتکت باز همراه با گیر غذایی - دستگاه ارتودنسی با وسایل دیگر-گزوستومی ا -پوسیدگی حفره دار یا بدون حفره (اولیه) یا ترمیم و پوسیدگی قابل مشاهده با چشم با را دیوگرافی عدم وجود پوسیدگی با پرگردگی در ۲۶ ماه اخیر ، در گروه با ریسک کم ہو سیدگی قرار می گیرد .
وجود ۱ یا ۲ پوسیدگی پرکردنی در ۳۶ ما ه ا خیر و در گروه با ریسک متوسط پوسیدگی قرار می گیرد . وجو د ۲ پوسیدگی پر کردنی و بیشتر در ۳۶ ماهه ا خیر ، در گروه با ریسک زیاد پوسیدگی قرار می گیرد از دست رفتن دندان به علت پوسیدگی در ۳۶ ماه گذشته با مشت بودن جوان ، بیمار در گروه ریسک بالا و در غیر اینصورت در ریسک پایین قرارمی گیرد .
گزوستومیا با خشکی شدید دهان بیمار را در گروه ریسک بالا و در غیر اینصورت در ریسک پایین قرار می دهد - وجود پلا ک قابل مشاهده - مورفولوژی غیر طبیعی دندان که مانع حفظ بهداشت دهان شود - پک ترمیم اینتر پروگزیمال یا بیشتر - سطوح عریان ریشه- ترمیم های دارا ی اورهنگ و یا مارچین باز( پر کردن دندان )پاگلتکت باز به همرا ه با گیر غذایی - دستگا ه ارتود نسی ثابت یا متحر ک - بیمار را در گروه با ر یسک متوسط پو سیدگی قرار می دهد .
بنابراین به یاد داشته باشیم وجود پلاک قابل مشاهده مورفولوژی غیر طبیعی دندان که مانع حفظ بهداشت دهان شود، یک ترمیم اینتر پروگزیمال یا بیشتر سطوح عریان ریشه ، ترمیم های دارا ی اورهنگ و با مارچین باز ( پر کردن دندان )و یا کانتکت باز همراه با گیرغذایی ، دستگاه ارتودنسی ثابت یا متحر ک مصرف نادرست دارو با الکل، استفاد ه از داروهای کاهنده بزاق و اختلالات تغذیه ای و عدم استفاده از فلوراید و عدم رعایت مراقبت های در منزل بیمار را در گروه با ریسک متوسط پوسیدگی قرار می دهد .
بروز پوسیدگی در ۴ ماه اخیراستفاده مکرر بین وعده های غذای ی از غذاها و نوشیدنی های حاوی قند با شکر در وعده های غذ ایی - نیاز به مراقبت های درمانی ویژه در سنین ۶ ت ا ۱۴ سال - نیاز به کمورادیوتراپی - وجو د ۳ پو سیدگی / پرکردگی و ب یشتر در ۳۶ ماه ا خیر - از دست رفتن دندان به علت پوسیدگی در ۳۶ ماه گذشته - گزروسنومیا یا خشکی شدید دهان ، بیمار ر ا در گروه با ریسک بالای پوسیدگی قرار می دهد .
جدول تست های ارزیابی پو سیدگی
تست ارزیابی بزاق ارزیابی PH، pH بالای ۶۱۸ فرد با ریسک کم پوسیدگی pH زیر ۸ / ۵ فرد با ریسک بالای پوسیدگی pH بین ۶ ت ا ۶ / ۶ فرد با ریسک متوسط پوسیدگی تست ارزیابی پلاک ارزیابی PH : کاملا مانند ارزیابی PH بزاق می باشد فعا لیت بیو فیل م (پر کردن دندان) اندازه گیری میزان باکتری های بد در پلاک زیر ۱۵۰۰ فرد با ریسک کم پوسیدگی با لا ی ۲۰۰۰ فرد با ریسک با لای پوسیدگی بین ۱۵۰۰ تا ۲۰۰۰ فرد با ریسک متوسط پو سیدگی ارزیابی عادات غذایی توالی مصرف تنقلات فرد با ر یسک کم بوسیدگی بیشتر از ۳ بار فرد با ریسک بالای پوسیدگی فر د با ریسک متوسط پوسیدگی.
جدول ارزیابی او لیه رنگ پوسیدگی
در ۴ زیرگروه تاریخچه دندانپزشکی، ارزیابی رژیم غذ ایی، گزروستومیا یافته های بالینی بررسی می شود در این تست تصورات کم تر از ۳ . دارا ی ریسک کم پوسیدگی ( پر کردن دندان) . بیشتر از ۴ وکم تر از ۸ . در ریسک پوسیدگی با لای ۹ دارای ریسک با لای ۹دارای ریسک بالای پوسیدگی هستند .
۱ تار یخچه دندانپرشکی در این گروه در صورتی که در ۳ سال اخیر ضایعه پوسیدگی جدیدی ایجاد شده باشد ، فرد ۸ بوده و در سایر موارد ( پر کردن دندان ) می باشد. در این زمینه عامل نداریم ۳ . ارزیابی رژیم غذایی در این گروه در صورتی که فرد از نوشیدنی ها ی حاوی قند بالا مانند آب میوه های مصنوعی، نوشیدنی ها ی ورزشی و داروهای به شکل شربت استفاده نماید و با مصرف بیش از حد الكل با داروهای (پر کردن دندان ) داشته باشد ، بوده و در سایر موار د می باشد . در این زمینه نیز عامل ( پر کردن دندان ) نداریم گزروستومیا اگر بیمار دارا ی دهان خشک با بزاق کاهش یافته باشد و یا جریان بزاق با محتوای آن غیر نرمال باشد، فرد را در گروه پوسیدگی قرا ر داده و اگر به دلیل مصرف دارو با بیمار ی سیستمی که جریان و محتوای بزاق کاهش یافته باشد ، فرد ر ا در گروه پوسیدگی قرار می دهد.
یافته ها ی بالینی :وجو د حفرات پو سیدگی قابل مشاهده ( پر کردن دندان )وجود ض ایعات پوسیدگی مینایی در نواحی اینتر پروگزیمال و ضایعات پوسیدگی قابل مشاهده در رادیوگرافی؛ فرد را در گروه پوسیدگی قرار داده و در سایر موارد فرد محسوب می شود در این ارزیابی از یافته ها ی با لینی ، اگر پلاک یا بیوفیلم قابل مشاهده روی سطح دندان ها وجود داشته باشد و یا (پر کردن دندان) ها ی قابل رویت موجود باشد. فرد محسو ب شده و سایر موارد می باشند اگر در ارزیابی گزروستومیا بیمار امتیاز ۱۰ - ۸ گرفت تست بزاقی پیسلاین الزامی است و اگر در ارزیابی بالینی بیمار امتیاز ۱۰ گرفت تست باکتریال پیس لاین الزامی است . کنترل پوسیدگی و پروتکل ها و استراتژی های پیشگیری اهداف اولیه برنامه پیشگیری از پوسیدگی، کاهش تعداد باکتر ی های پوسیدگی را و ایجاد محیط هدا یت کننده به سمت رمینوال یبراسیون است پیشگیر ی باید با توجه به مقاومت بیمار در برابر عفونت با باکتری ها ی پوسیدگی را آغاز شود اگرچه سلامت عمومی بیمار، تاریخچه اکسپوژر به فلوراید و عملکرد سیستم ایمنی و غدد بزاقی نقش مشخصی در خطر پوسیدگی بیمار دارد ، بیمار ممکن است کنترل کمی روی این فاکتورها داشته باشد بیمار معمولا قادر به کنترل سایر فاکتورها مثل رژیم غذایی، بهداشت دهانی ، استفاده از عوامل آنتی میکروبیال و مراقبت دندانی (که ممکن است شامل استفاده از سیلانت ها و رستورپشن ها باشد) است.