بیماری های دهان
|
قارچ دهانی ؛ در کام رخ داده است. بدلیل مصرف اسپری کورتون در بیمار مبتلا به اسم |
زخم دهان ؛ صرفا بدلیل تیزی دندانها |
|
طفل ۱۴ ساله مبتلا به خشکی دهان است بدلیل رادیوتراپی مکرر جهت درمان لوسمی |
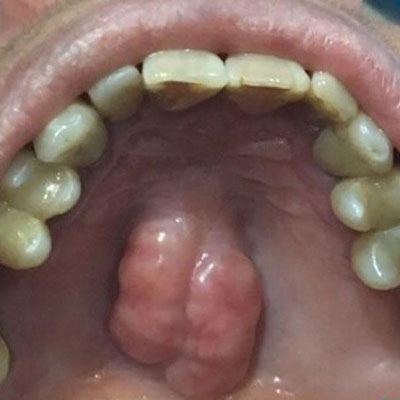
همانژیوما ؛ یک تومور خوش خیم دهانی مادرزادی است |
|
افزایش حجم منتشر لثه فک بالا ؛ بدلیل مصرف دارو رخ داده ( مثلا فنی توئین یا سایکلوسپورین یا نیفیدیپین) |
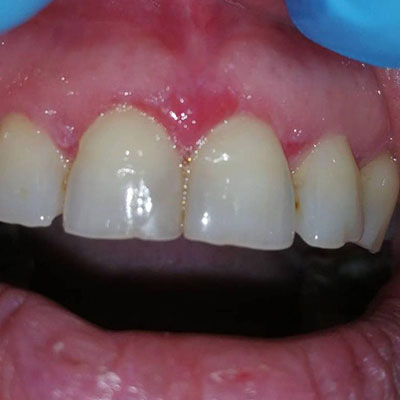
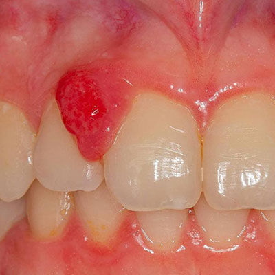
پیوژنیک گرانولوما ؛ روی لثه فک بالا رخ داده است ، ممکنست کمی خونریزی کند ولی یک زخم دهانی طبقه بندی نمی شود |
|
فیبروم تحریکی ؛ یکتومور کوچک دهانی است که باید جراحی شود |
زبان جغرافیایی ؛ در جوانان رایجترست ، نیازی به درمان ندارد مگر انکه سوزش دهان ایجاد کرده باشد |
|
موکوسل ؛ تجمع بزاق زیر مخاط دهان ، بسیار در لب پایین شایعست ، علت ان اسیب غدد بزاقی می باشد . منجر به خشکی دهان یا زخم دهانی نمیشود |
سرطان دهان ؛ اغلب کف دهان و کناره زبان را مبتلا میکند |
|
فیبرومتحریکی بروی مخاط دهان ؛ این ضایعه اغلب منجر به یک زخم دهانی نمیشود . درمان ان جراحی است |
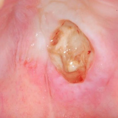
سیالومتاپلازی نکروزان ، زخم دهانی در کام بیمارست که سریعا پیشرفت میکنم . علت ان میتواند تروما ، جراحی های دهانی ، تزریق بیحسی در کام باشد |
|
ضایعه برجسته استخوانی در کام ؛ توروس می باشد که در صورت مداخله با پروتزهای دهانی نیازمند جراحی خواهد بود |
تغیرر رنگهای گونه بیمار ، پیگمان سیگار هستند ، این رنگها ارتباطی با زخمهای دهانی ندارند |
|
لنفوما ؛ تومور نادر خوش خیم روی زبان ، باعث زخم دهانی نمیشود |
کاندیازیس ؛ مدین راملوئید گلوسیت . دلیل بهداشت ضعیف یا مصرف طولانی مدت انتی بیوتیکها رخ میدهد . در برخی موارد سوزش دهان و درد و سوزش زبان رخ میدهد |
|
این یک زخم دهانی نیست !! تشخیص بیماری لیکن پلان دهانی اروزیو می باشد . درمان با کورتون در ابتدا بصورت دهانشویه می باشد |
رادیولوسنسی بین دو ریشه ؛ املوبلاستومای فولیکولارست . این ضایعه تومورال خوش خیمست و کاندید جراحی می باشد. این تومور یک زخم دهانی ایجاد نکرده است و ارتباطی هم با خشکی دهان ندارد |
|
کاندیدیاز هایپر پلاستیک ؛ یک دلیل ان خشکی دهان است و شاید بهداشت ضعیف یا مصرف طولانی کورتون تنفسی و انتی بیوتیک ها |
ضایعه ژانت سلی محیطی ؛ بروی لثه فک پایین به ابعاد ۱۰ در ۱۰ میلیمتر که صرفا توسط جراحی حذف میشود و هرگز بدخیم نیست . تحت ضربه ممکنست یه زخم دهانی ایجاد شود |
|
زخم دهان؛ ناشی از بیماری التهابی روده موسوم به بیماری crohn ؛ همزمان با درمان بیماری روده این ضایعه نیز رو به بهبود میگذارد |
زخم دهان در کام سخت ؛ عفونت هرپس سیمپلکس . این زخمها اغلب همراه سوزش دهان و درد دهان میشوند . بدون درمان ظرف ۱۰ روز بهبود می یابد |
|
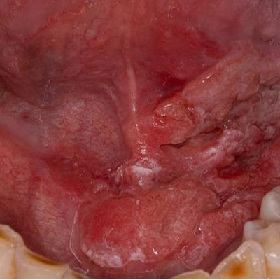
بیماری لیکن پلان دهانی ؛ زخم دهانی و قرمزی مخاط و خطوط سفید ( هایپر کراتوز ) دیده میشوند . بعد از نمونه برداری درمان توسط استروئید ها و ضد قارچ انجام میشود |
انگولار چلایتیس ؛ عفونت قارچی گوشه دهان است . بدلیل عفونت قارچی در کام یا پروتز متحرک با ارتفاع کم . خشکی دهان از عوارض آن است. |
|
قرمز شدن سمت چپ کام بدلیل عفونت قاچی دهانی، ناشی از ضعف ایمنی یا خشکی دهان و با استفاده از پروتز نامناسب |
به زخم دهان پشت لب توجه کنید ، درد و سوزش دارد . شبیه بیماریهای تاولی است و شاید .......به هر حال خوش خیم است ، منتظر پاسخ نمونه برداری هستیم |
|
ضایعه فوق در لبه زبان بصورت برجسته و کمی دردناک بیشتر شبیه باعت لنفی هایپر پلاستیک است . این یک ضایعه اگزوفیتیک خوش خیم میباشد در مردی ۲۵ ساله از یزد |
این زخم دهان در گونه است ، سوزش دارد و یک ساله شده است . بیماری لیکن پلان دهانی اروزیو بوسیله مصرف کورتون بصورت موضعی و خوراکی کنترل شده اما هرگز درمان پذیر نیست |
|
یک پیگمان منفرد همیشه کاندید نمونه برداریست. این ضایعه شاید یک ماکول ملانوتیک دهانی یا یک خال باشد . اگر خوش خیم باشد با لیزر حذف میشود . |
سقف دهان قرمز رنگ ، نشاندهنده عارضه قارچی بنام هاپرپلازی پاپیلری التهابی است . منشا ان قارچ می باشد و دلیل ایجادش یک پروتز متحرک نامناسب می باشد . درمان ان دهانشویه نیستاتین یا مصرف خوراکی فلوکنازول است |











